12 年
手机商铺
公司新闻/正文
1962 人阅读发布时间:2022-04-14 16:36
自20世纪90年代法尔和梅洛发现RNA干扰机制以来,以往并不受重视的核糖核酸(RNA),日渐进入研究人员的视野。作为基础科研、诊断检测和药物研发等研究的重要对象之一,RNA广泛应用于Northern杂交、RT-PCR、构建cDNA文库等分子生物学研究。而这些研究的前提都是要提取出纯度高且完整性好的RNA。
与动物组织和培养细胞相比,植物组织的RNA更难提取。它们的细胞壁很难被破坏,且植物细胞中往往含有大量的化合物,如多糖、酚类以及一些次级代谢产物。因此,选择优质的产品来突破植物RNA提取的瓶颈就显得至关重要。
在实际操作过程中,科研儿们往往会关注的是以下两点:
●提取时长:提取大量植物样本时,事半功倍肯定是最理想的效果;
●样本兼容性:样本涉及到简单植物、多糖多酚植物时,能做到兼容并包是不二选择。
今天!小V就帮助你们来解决这些令人头疼的问题,FastPure® Universal Plant Total RNA Isolation Kit(Vazyme # RC411)新品上市,这些问题都将迎刃而解!
一、产品亮点
1.★★★快速:常温操作11 min即可;
2.★样本适用范围广:适用于多种普通植物、多糖多酚植物;
3.★安全无毒:无需使用酚氯 .仿、β-巯基乙醇等有毒试剂。

二、性能展示
1
产量高、纯度好
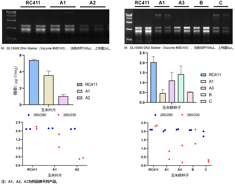
分别使用FastPure® Universal Plant Total RNA Isolation Kit(Vazyme # RC411)与A、B、C品牌的产品,提取玉米叶片和玉米种子的RNA。从图中可以看出,Vazyme #RC411提取的RNA产量高,纯度和完整性也好。

图1 不同产品提取玉米叶片和玉米种子的RNA得率和纯度
适用样本范围广
使用Vazyme #RC411对不同植物样本(包括普通植物、水果果肉、多糖多酚植物)和部分真菌样本进行RNA提取,并对产物进行琼脂糖凝胶电泳检测,从图中可以看出Vazyme #RC411提取试剂盒能兼容多种类型的植物样本和部分真菌样本。

图2 不同样本RNA提取产物电泳图
介绍完了我们的产品,大家快来看看第一批使用我们RC411植物RNA提取试剂盒小伙伴们的反馈吧~
三、产品反馈
案例一:中国农业科学院
操作时长约在一个半小时左右(提取+检测)、操作便捷、提取效果好。

案例二:河南科技大学 案例三:广西大学
提取时间较快,步骤简单,浓度高,质量好。

案例四:河南农业大学
操作方便便捷!

案例五:齐齐哈尔大学
本次使用体验较好,首先在操作要求下可在室温进行,较为方便;其次在RNA提取效果方面,对未完全干燥的材料进行提取时,RNA产量约为B产品的2倍。
使用完的小伙伴们觉得这款产品操作十分的简便、快速,看完之后大家有没有心动呢~还等什么,RC411新品活动(2022.04.01-2022.04.30)正在火热进行中,小伙伴们现在可以赶紧行动啦
